La Fibrosis Pulmonar Idiopática (FPI) es una enfermedad crónica que afecta principalmente a personas mayores de 50 años, con mayor prevalencia en hombres. Considerada una enfermedad rara dentro de la clasificación de enfermedades huérfanas, la FPI se caracteriza por un daño progresivo en el tejido pulmonar, que afecta ambos pulmones, provocando una cicatrización que reduce la elasticidad y flexibilidad del órgano.
El término “idiopática” se utiliza cuando, tras una exhaustiva evaluación, se descartan otras posibles causas como enfermedades reumatológicas, exposiciones ambientales o laborales, y ciertos fármacos que también pueden dañar el tejido pulmonar. El tabaquismo es el principal factor de riesgo asociado con el desarrollo de esta enfermedad.
Se estima que entre el 10 y el 15% de los casos tienen un origen familiar, relacionado con factores genéticos. En Argentina, al igual que en otras partes del mundo, se prevé un aumento en la incidencia de FPI, probablemente debido al incremento en la esperanza de vida y a una mayor precisión en los diagnósticos. Actualmente, se reportan aproximadamente 8.000 pacientes con FPI en el país, con 2.000 nuevos casos anuales, lo que equivale a 1 caso cada 2.500 habitantes por año.
Síntomas y Diagnóstico
Los síntomas de la FPI incluyen dificultad para respirar, fatiga y una disminución progresiva en la capacidad de realizar actividades físicas. Otro síntoma común es la tos seca y persistente. En algunos casos, la enfermedad puede ser confundida con neumonías recurrentes. Además, algunas personas pueden desarrollar acropaquias, una deformación de los dedos caracterizada por el engrosamiento de la punta de los dedos y la curvatura de las uñas.
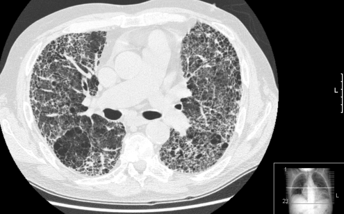
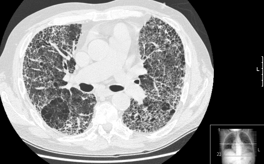
El diagnóstico de la FPI requiere una evaluación exhaustiva. Tras la auscultación, donde se pueden detectar crepitantes secos, conocidos como sonidos de “velcro”, es necesario realizar una tomografía de alta resolución del tórax, que proporciona una imagen detallada de los pulmones. También se recomienda llevar a cabo pruebas de función pulmonar para evaluar la capacidad respiratoria y determinar la evolución de la enfermedad.
Tratamiento y Manejo
Aunque la FPI es una enfermedad que actualmente no tiene cura, la combinación de tratamiento farmacológico y un enfoque integral en la atención médica puede influir positivamente en la evolución de la enfermedad y mejorar la calidad de vida. Esto incluye:

- Medicamentos: se cuenta con dos medicamentos antifibróticos, pirfenidona y nintedanib, ambos han probado enlentecer la caída de la capacidad pulmonar.
- Rehabilitación pulmonar: Ejercicios de respiración y otras técnicas pueden ayudar a mejorar la capacidad pulmonar, mejorar su capacidad física y manejar mejor la disnea. Evaluar y optimizar la función cardíaca del paciente es también crucial para obtener una respuesta favorable al tratamiento.
- Nutrición adecuada: Es esencial que los pacientes sigan un plan nutricional adecuado para evitar la excesiva pérdida de peso. El manejo de la enfermedad también incluye el tratamiento del reflujo gastroesofágico, que puede agravar la fibrosis.
- Calendario de vacunación: son esenciales las vacunas contra la gripe, el neumococo y el virus sincitial respiratorio, para prevenir infecciones que podrían complicar la condición respiratoria.
- Oxigenoterapia: En casos avanzados, puede ser necesaria la administración de oxígeno suplementario.
- Trasplante pulmonar: En algunos casos, el trasplante de pulmón puede ser una opción.
Si bien la Fibrosis Pulmonar Idiopática es una enfermedad crónica, muchas personas con esta condición pueden llevar una vida plena y activa. La Asociación Argentina de Medicina Respiratoria aconseja seguir las recomendaciones del médico, mantener un estilo de vida saludable y buscar apoyo psicológico. Además, al aumentar la conciencia sobre esta enfermedad, es posible mejorar el diagnóstico temprano, acceder a tratamientos más efectivos y brindar un mejor apoyo a los pacientes y sus familias.
Asesoró: Dra. Viviana Moyano, neumonóloga (MP 20846), Coordinadora de la Sección Enfermedades Intersticiales de la Asociación Argentina de Medicina Respiratoria.









